Treatment PP Dental Solution
Ubah senyum Kamu dengan perawatan yang luar biasa di PP Dental Solution: Temukan perawatan yang tepat untuk Kamu
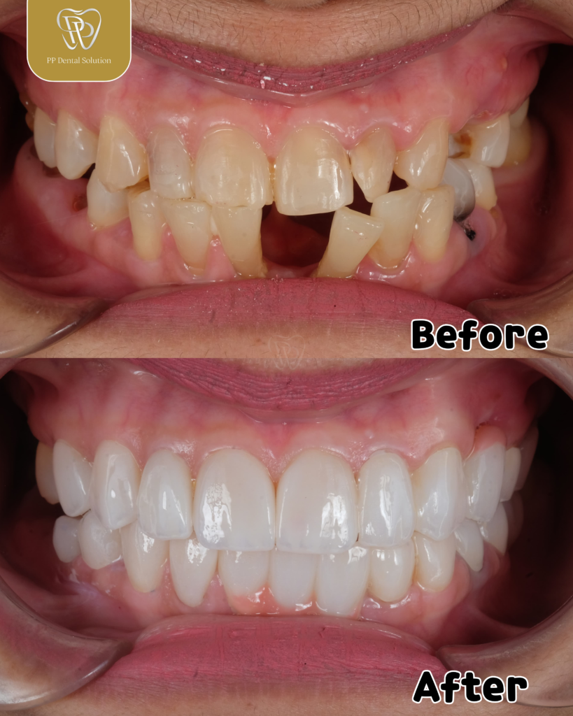
Make Over PP Dental Solution











Tambal Gigi
Dengan 1x Kunjungan, dapat mengembalikan lagi kepercayaan diri Sobat PP Dental dengan tambal gigi aesthetic yang membuat gigi patah kalian kembali seperti semula.
Gigi berlubang memberikan ketidaknyamanan untuk penderita, serta efek yang tidak baik untuk kondisi kesehatan gigi, Masih ingin menunda untuk pergi ke dokter gigi? Sobat PP Dental lebih baik mencegah ya daripada mengobati



































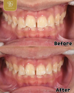
Veener
Transform senyum Kamu dengan percaya diri! Temukan keajaiban veneer untuk tampilan alami yang sempurna










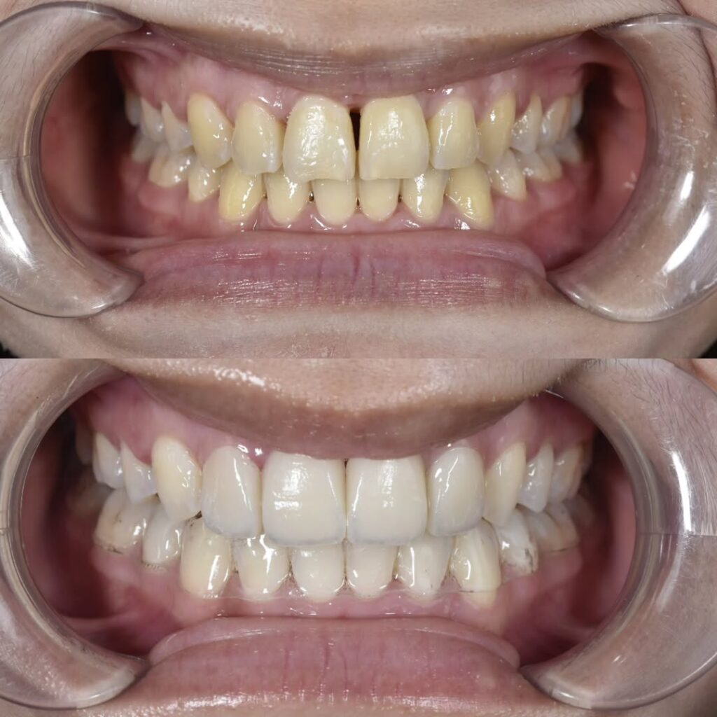
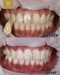
Teeth Whitening (Bleaching)
Gigi yang tampak kusam atau menguning sering kali menurunkan rasa percaya diri.
Bleaching gigi bisa menjadi solusi untuk membantu mencerahkan warna gigi secara aman dan terkontrol.
Masih ingin menunda perawatan? Sobat PP Dental, lebih baik rawat dan jaga sejak dini agar senyum tetap cerah dan sehat ✨











Gigi Palsu
Gigi Palsu Alat bantu mulut yang dapat dilepas untuk menggantikan gigi yang hilang di rahang atas, rahang bawah, atau keduanya















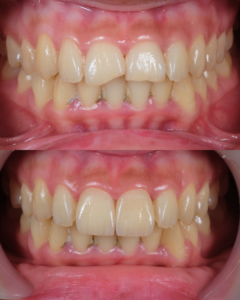
Braces Treatment
Kamu bisa melakukan Treatment Braces (Behel/kawat gigi), Sobat PP Dental juga nggak perlu khawatir dengan rasa sakit, karena seluruh perawatan di PP Dental sudah dilengkapi teknologi modern



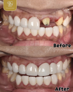
Implant
Gigi yang hilang bukan hanya memengaruhi penampilan, tapi juga fungsi mengunyah dan kesehatan gigi lainnya.
Implan gigi hadir sebagai solusi permanen yang menyerupai gigi asli, baik dari segi fungsi maupun estetika.
Masih ingin menunda perawatan? Sobat PP Dental, lebih baik mengganti gigi yang hilang sejak dini agar kenyamanan dan kepercayaan diri tetap terjaga 🦷✨
